在线留言
0851-836278080851-86918886


- c联系我们
- 地址:花溪店:贵阳市花溪区花溪公园旁溪北路紫光商城二楼;金阳店:贵阳市观山湖区长岭北路国际金融中心二期商务区C8栋
- 电话:0851-836278080851-86918886
- 联系人:佳和口腔
全面的有关「洗牙」的20个问题,都在这里!
编辑日期:2021-10-12
阅读

经常有牙医吐槽,每天都会被问到关于洗牙的各种匪夷所思的问题,简直被问到怀疑人生!真没想到大家对洗牙有那么多误解~于是,我们精选了关于「洗牙」的问得比较多比较奇葩的N个问题,相信看完这篇文章绝对能解决你们患者99%的困扰!

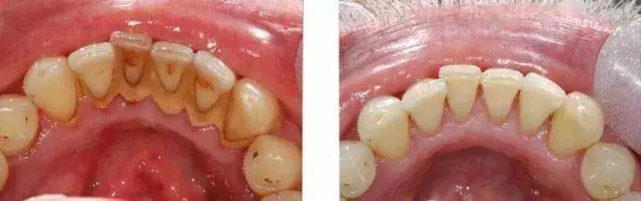
一、洗牙会不会伤害/磨损牙齿?当然不会!首先,我们要搞清楚洗牙是什么?通常我们说的洗牙是指利用超声波高频率的震荡来击碎牙石,然后水雾冲洗!就像这样↓

水流是可以调节的~也不是你想象中的拿个小钩子给你扣下来,所以不会对牙齿造成任何磨损和伤害~这根的洁牙尖,都是一人次一消毒,拿出来的时候都带着消毒灭菌的包装哒。

当然,为了能让你们能相信洗牙不伤牙,小编特意贡献出了自家准备做茶叶蛋的蛋蛋君,给大家表演个「洗鹌鹑蛋」。

你看,经过超声波高频率震荡后的鹌鹑蛋,表面的斑点(色素沉积)完全被清除了,但蛋壳还完好无损。连蛋壳都能安然无恙的洗牙,真的会伤害到你的牙齿吗?难道你牙齿的硬度连蛋壳还不如吗?拜托~牙釉质可是钙化程度非常高的坚硬组织,其硬度仅次于金刚石,怎么洗个牙就被磨损了呢!二、为什么我们需要洗牙?即使知道了洗牙不伤害牙齿,但很多人还抱着“我为什么要花钱找罪受”心情来看待洗牙。为什么医生们总是苦苦劝诫定期洗牙,难道真的只是为了赚这几十块手工费吗?刷牙,只能清除牙齿和舌苔表面的食物残渣菌斑;牙线,只能清除齿缝深处的刷牙无法刷到的菌斑。

但是,就算你刷牙刷得特别溜、牙线用的超勤快,总也阻止不了有些顽固牙菌斑躲在隐蔽的角落暗暗壮大,努力钙化变成牙结石,对口腔健康形成威胁。更别提,其实大部分的人刷牙根本不认真,也几乎不用牙线。所以,小编几乎可以断言,从没洗过牙的你,肯定有牙结石!有牙结石,就要洗牙,别想着去扣,扣不掉的(别问我怎么知道的)!当然你或许会说:“有牙结石就有牙结石嘛,也不影响什么,干嘛要洗啊!”

其实牙结石这玩意儿贼能伤害牙齿。在还是牙菌斑的时候,就能导致蛀牙以及其它各种牙周疾病比如牙龈出血等;等进化成牙结石后,更是容易吸收大量细菌毒素,引起牙周炎症、牙龈水肿出血,最终导致牙龈萎缩,牙齿松动脱落。洗牙的意义就是在于是对口腔进行一次彻底清洁,清除牙结石、烟渍茶渍、软垢牙菌斑,预防缓解牙周炎症和牙龈出血迹象,让牙齿和牙龈恢复健康。三、洗牙到底有哪些好处?洗牙对牙齿保健意义重大,能有效清除牙结石,防治牙龈/牙周疾病,牙结石有多凶残之前已经提过了,牙周病更是成年人牙齿脱落的罪魁祸首。另外,洗牙还有助于提早发现牙科问题,相当于口腔检查,在洗牙过程中提前发现牙齿问题,就能及时治疗~最后,洗牙还有助于维持身体健康,不经常洗牙导致口腔卫生不良,可能会诱发心脏病发作和中风。
四、洗牙时痛不痛?疼痛等级多少?

健康的牙齿洗牙时是不会痛的,顶多有几颗牙齿比较敏感,因为牙结石易生长的地方就是那些不易清洁的位置,比如牙釉质和稚嫩敏感的牙根的交界处,就像蚊虫叮咬一样不引人注意的不适。但一些小伙伴在洗牙时会频繁感觉到牙齿酸软,这是因为牙周有了炎症导致牙根暴露敏感。牙周炎症越重,牙根暴露可能越明显,在治疗中的酸痛感会越明显。洗牙不疼,会有些不适,但是在可以忍受的范围内的。五、洗牙后,牙齿敏感是怎么回事?洗牙本身不会对我们的牙齿产生任何负面影响,洗牙后牙齿酸,多半是因为你牙洗少了。牙结石比较严重,洗掉之后一时无法适应,或者洗牙后几天里牙齿接触了忽冷忽热的食物刺激,都会导致牙齿敏感,这是正常现象,三天左右就会自动消退。六、洗牙后,牙缝变大、牙齿松动怎么办?有这样的感觉,多半也是因为你牙洗少了。长期留存的牙结石会不断刺激牙龈导致萎缩,当牙结石还在时你感觉不明显,当洗牙后牙结石被清理掉、牙龈肿胀和炎症消退,松动就会变明显。就像原本装满垃圾的房间被清理干净了,房间并没变大但是空间变大了。洗牙不但不会造成牙齿松动,反而可以有效预防和治疗牙周炎,防止牙齿松动、脱落。

七、为什么洗牙后,牙齿没有变白?洗牙后牙齿确实会看起来白一些,这是因为附着在牙齿表面有色的牙结石和色素都被清除了。但是,洗牙只能还原牙齿原本的颜色,并没有美白的效果。就像洗衣服一样,白衣服脏了可以洗白,其他颜色的衣服脏了却不会洗成白色。八、洗牙会造成牙龈出血吗?牙结石比较严重比如第一次洗牙的人,在洗牙过程中就会容易出血,这是正常现象。

需要明确的是:造成牙龈出血的主要原因是牙结石刺激牙龈发炎,引发牙龈出血,包括洗牙过程出血,而不是洗牙导致出血。为了避免牙结石堆积、牙龈出血,定期洗牙就好了。洗完牙后,牙龈就会慢慢恢复健康,以后刷牙就不会出血惹~九、洗一次牙贵吗?洗牙的价格要看你所在的城市以及选择的诊所,虽然各地的价格可能不大相同,但一般都在几百元左右。请一定到正规专业的医疗机构洗,不要图便宜去一些不正规的场所去洗牙,以免造成得不偿失。十、洗一次还不够,为什么还要定期洗?洗牙只能让口腔保持一段时间的清洁,难道洗完牙后的你就不吃饭了吗?每天吃饭都会有残渣留在牙齿缝隙里和死角里,滋生牙菌斑,努力变成牙结石!所以,定期洗牙才能长久的保持口腔清洁。十一、每天认真刷牙,还要洗牙?因为就算你刷牙刷的再干净,仍然会有软垢躲藏在隐蔽角落无法清理干净。久而久之,含有大量细菌的软垢和唾液中矿物质结合逐渐变硬成为牙结石。刷牙能刷掉食物残渣和软垢,但是刷不走牙结石。

当然天天刷牙都刷得好、坚持用牙线也是有好处的,牙结石肯定就会相对较少,蛀牙也会远离你~十二、洗牙可以清除口腔异味吗?口腔异味的原因有很多,其中一大原因就是隐藏在牙缝和死角里的食物残渣残留时间过长发酵产生异味儿~洗牙能彻底清洁牙齿,包括牙结石和因食物残渣发酵产生的异味儿!同样,并不是洗了牙,口腔里就一定没异味儿。如果你注意饮食(没吃大蒜等有味道的食物),并且确认牙齿没有蛀牙等其他会产生异味的状况,那也有可能是肠胃消化系统的问题。十三、那多久洗一次牙比较合适?因人而异。正常情况下半年到一年左右,长期抽烟的人士建议3~6个月洗一次牙。按照个人的口腔情况的不同,医生会给出合理的建议。十四、洗一次牙要花多长时间?全口洗牙完整的流程下来需要30分钟到一个小时左右。按照口腔的情况不同时间也会有长短,牙结石多的朋友就可能洗得久一点,牙结石少就会快一点。十五、有哪些人不适合洗牙吗?女性尽量避开经期与孕前期(3个月);使用心脏人工起搏器的患者禁止进行超声洁牙,以避免因干扰起搏器的工作而造成患者心律紊乱等症状;患有活动性心绞痛、半年内发作过的心肌梗塞以及未能有效控制的高血压和心力衰竭等的患者不易接受常规洗牙治疗;患有某些急性传染病的患者,如急性肝炎活动期、结核病患者等,也应等疾病稳定后,才可到医院进行洗牙;患有各种出血性疾病,如血小板减少症、白血病的小伙伴,必须慎重选择洗牙的时间,可预先适量服用促凝血药物,控制凝血速度,以免洗牙时出血不止。十六、洗牙后有什么注意事项?通常洗牙后就能正常饮食了,但是建议不要吃过冷过热辛辣等刺激性食物,以及少吸烟、少喝浓茶、咖啡等容易使牙齿着色的食物,减少色素在牙面的沉着。

坚持正确的刷牙方式、使用牙线以及定期检查洗牙,保护牙齿是一件长期的事情~十七、洗牙可以治疗牙龈炎/牙周炎吗?洗牙是牙龈炎的主要治疗方法,也是牙周炎治疗的第一步。患有牙周炎的人,牙齿上几乎都堆有大量的牙结石,这些牙结石堆在牙龈上就会对牙龈产生刺激,造成牙龈发炎出血和牙龈的退缩。医生用洗牙来清除这些龈上的牙结石,如果牙结石超多,还有可能涉及到龈下刮治与翻瓣手术等。十八、蛀牙/补过的牙可以洗牙吗?可以洗,有蛀牙和洗牙其实没什么关系,但洗牙并不能对蛀牙起到「修复治疗」,所以洗完牙你还是需要去补牙。洗牙后更有利于补牙,毕竟牙结石都被清除了,视野都好多了呢~另外,补过的牙齿也可以洗牙,完全没问题~就算你补得再逼真的牙,专业的医生小哥哥小姐姐们也能分得出哟!十九、洗牙后牙龈还能长回去吗?牙龈萎缩是不可逆的。如果是很轻微的,一般情况下经过治疗,会慢慢恢复;但如果是严重的牙龈萎缩,那牙龈是很难长回去的。

目前为止,针对牙龈萎缩还没有什么特别有效的治疗方式,只能靠日常维护,注意口腔卫生,认真刷牙,坚持使用牙线,以及一些基础的牙周治疗如洁治、刮治、根面平整等。二十、还分等级吗?刮治是什么?除了我们常说的洗牙(龈上洁牙)外,很多小伙伴们还被医生建议做过龈下刮治。

龈下刮治示意图
洗牙一般是针对牙龈上部的牙结石和菌斑,而龈下刮治则是针对于超声机头不能洁治的盲区死角的补充手段。一旦你出现了牙龈疾病,牙周袋形成之后就会慢慢加深,牙结石就会慢慢向牙龈下堆积,这时候就需要刮治。本文来源于网络;版权归原作者所有,如有违规、侵权请联系我们,本平台会及时做出处理。
经常有牙医吐槽,每天都会被问到关于洗牙的各种匪夷所思的问题,简直被问到怀疑人生!真没想到大家对洗牙有那么多误解~ 于是,我们精选了关于「洗牙」的问得比较多比较奇葩的N个问题,相信看完这篇文章绝对能解决你们患者99%的困扰! 一、洗牙会不会伤害/磨损牙齿? 当然不会! 首先,我们要搞清楚洗牙是什么? 通常我们说的洗牙是指利用超声波高频率的震荡来击碎牙石,然后水雾冲洗!就像这样↓ 水流是可以调节的~也不是你想象中的拿个小钩子给你扣下来,所以不会对牙齿造成任何磨损和伤害~ 这根的洁牙尖,都是一人次一消毒,拿出来的时候都带着消毒灭菌的包装哒
当然,为了能让你们能相信洗牙不伤牙,小编特意贡献出了自家准备做茶叶蛋的蛋蛋君,给大家表演个「洗鹌鹑蛋」
你看,经过超声波高频率震荡后的鹌鹑蛋,表面的斑点(色素沉积)完全被清除了,但蛋壳还完好无损
连蛋壳都能安然无恙的洗牙,真的会伤害到你的牙齿吗?难道你牙齿的硬度连蛋壳还不如吗? 拜托~牙釉质可是钙化程度非常高的坚硬组织,其硬度仅次于金刚石,怎么洗个牙就被磨损了呢! 二、为什么我们需要洗牙? 即使知道了洗牙不伤害牙齿,但很多人还抱着“我为什么要花钱找罪受”心情来看待洗牙
为什么医生们总是苦苦劝诫定期洗牙,难道真的只是为了赚这几十块手工费吗? 刷牙,只能清除牙齿和舌苔表面的食物残渣菌斑;牙线,只能清除齿缝深处的刷牙无法刷到的菌斑
但是,就算你刷牙刷得特别溜、牙线用的超勤快,总也阻止不了有些顽固牙菌斑躲在隐蔽的角落暗暗壮大,努力钙化变成牙结石,对口腔健康形成威胁
更别提,其实大部分的人刷牙根本不认真,也几乎不用牙线
所以,小编几乎可以断言,从没洗过牙的你,肯定有牙结石!有牙结石,就要洗牙,别想着去扣,扣不掉的(别问我怎么知道的)! 当然你或许会说:“有牙结石就有牙结石嘛,也不影响什么,干嘛要洗啊!” 其实牙结石这玩意儿贼能伤害牙齿
在还是牙菌斑的时候,就能导致蛀牙以及其它各种牙周疾病比如牙龈出血等;等进化成牙结石后,更是容易吸收大量细菌毒素,引起牙周炎症、牙龈水肿出血,最终导致牙龈萎缩,牙齿松动脱落
洗牙的意义就是在于是对口腔进行一次彻底清洁,清除牙结石、烟渍茶渍、软垢牙菌斑,预防缓解牙周炎症和牙龈出血迹象,让牙齿和牙龈恢复健康
三、洗牙到底有哪些好处? 洗牙对牙齿保健意义重大,能有效清除牙结石,防治牙龈/牙周疾病,牙结石有多凶残之前已经提过了,牙周病更是成年人牙齿脱落的罪魁祸首
另外,洗牙还有助于提早发现牙科问题,相当于口腔检查,在洗牙过程中提前发现牙齿问题,就能及时治疗~ 最后,洗牙还有助于维持身体健康,不经常洗牙导致口腔卫生不良,可能会诱发心脏病发作和中风
四、洗牙时痛不痛?疼痛等级多少? 健康的牙齿洗牙时是不会痛的,顶多有几颗牙齿比较敏感,因为牙结石易生长的地方就是那些不易清洁的位置,比如牙釉质和稚嫩敏感的牙根的交界处,就像蚊虫叮咬一样不引人注意的不适
但一些小伙伴在洗牙时会频繁感觉到牙齿酸软,这是因为牙周有了炎症导致牙根暴露敏感
牙周炎症越重,牙根暴露可能越明显,在治疗中的酸痛感会越明显
洗牙不疼,会有些不适,但是在可以忍受的范围内的
五、洗牙后,牙齿敏感是怎么回事? 洗牙本身不会对我们的牙齿产生任何负面影响,洗牙后牙齿酸,多半是因为你牙洗少了
牙结石比较严重,洗掉之后一时无法适应,或者洗牙后几天里牙齿接触了忽冷忽热的食物刺激,都会导致牙齿敏感,这是正常现象,三天左右就会自动消退
六、洗牙后,牙缝变大、牙齿松动怎么办? 有这样的感觉,多半也是因为你牙洗少了
长期留存的牙结石会不断刺激牙龈导致萎缩,当牙结石还在时你感觉不明显,当洗牙后牙结石被清理掉、牙龈肿胀和炎症消退,松动就会变明显
就像原本装满垃圾的房间被清理干净了,房间并没变大但是空间变大了
洗牙不但不会造成牙齿松动,反而可以有效预防和治疗牙周炎,防止牙齿松动、脱落
七、为什么洗牙后,牙齿没有变白? 洗牙后牙齿确实会看起来白一些,这是因为附着在牙齿表面有色的牙结石和色素都被清除了
但是,洗牙只能还原牙齿原本的颜色,并没有美白的效果
就像洗衣服一样,白衣服脏了可以洗白,其他颜色的衣服脏了却不会洗成白色
八、洗牙会造成牙龈出血吗? 牙结石比较严重比如第一次洗牙的人,在洗牙过程中就会容易出血,这是正常现象
需要明确的是:造成牙龈出血的主要原因是牙结石刺激牙龈发炎,引发牙龈出血,包括洗牙过程出血,而不是洗牙导致出血
为了避免牙结石堆积、牙龈出血,定期洗牙就好了
洗完牙后,牙龈就会慢慢恢复健康,以后刷牙就不会出血惹~ 九、洗一次牙贵吗? 洗牙的价格要看你所在的城市以及选择的诊所,虽然各地的价格可能不大相同,但一般都在几百元左右
请一定到正规专业的医疗机构洗,不要图便宜去一些不正规的场所去洗牙,以免造成得不偿失
十、洗一次还不够,为什么还要定期洗? 洗牙只能让口腔保持一段时间的清洁,难道洗完牙后的你就不吃饭了吗? 每天吃饭都会有残渣留在牙齿缝隙里和死角里,滋生牙菌斑,努力变成牙结石!所以,定期洗牙才能长久的保持口腔清洁
十一、每天认真刷牙,还要洗牙? 因为就算你刷牙刷的再干净,仍然会有软垢躲藏在隐蔽角落无法清理干净
久而久之,含有大量细菌的软垢和唾液中矿物质结合逐渐变硬成为牙结石
刷牙能刷掉食物残渣和软垢,但是刷不走牙结石
当然天天刷牙都刷得好、坚持用牙线也是有好处的,牙结石肯定就会相对较少,蛀牙也会远离你~ 十二、洗牙可以清除口腔异味吗? 口腔异味的原因有很多,其中一大原因就是隐藏在牙缝和死角里的食物残渣残留时间过长发酵产生异味儿~ 洗牙能彻底清洁牙齿,包括牙结石和因食物残渣发酵产生的异味儿! 同样,并不是洗了牙,口腔里就一定没异味儿
如果你注意饮食(没吃大蒜等有味道的食物),并且确认牙齿没有蛀牙等其他会产生异味的状况,那也有可能是肠胃消化系统的问题
十三、那多久洗一次牙比较合适? 因人而异
正常情况下半年到一年左右,长期抽烟的人士建议3~6个月洗一次牙
按照个人的口腔情况的不同,医生会给出合理的建议
十四、洗一次牙要花多长时间? 全口洗牙完整的流程下来需要30分钟到一个小时左右
按照口腔的情况不同时间也会有长短,牙结石多的朋友就可能洗得久一点,牙结石少就会快一点
十五、有哪些人不适合洗牙吗? 女性尽量避开经期与孕前期(3个月); 使用心脏人工起搏器的患者禁止进行超声洁牙,以避免因干扰起搏器的工作而造成患者心律紊乱等症状; 患有活动性心绞痛、半年内发作过的心肌梗塞以及未能有效控制的高血压和心力衰竭等的患者不易接受常规洗牙治疗; 患有某些急性传染病的患者,如急性肝炎活动期、结核病患者等,也应等疾病稳定后,才可到医院进行洗牙; 患有各种出血性疾病,如血小板减少症、白血病的小伙伴,必须慎重选择洗牙的时间,可预先适量服用促凝血药物,控制凝血速度,以免洗牙时出血不止
十六、洗牙后有什么注意事项? 通常洗牙后就能正常饮食了,但是建议不要吃过冷过热辛辣等刺激性食物,以及少吸烟、少喝浓茶、咖啡等容易使牙齿着色的食物,减少色素在牙面的沉着
坚持正确的刷牙方式、使用牙线以及定期检查洗牙,保护牙齿是一件长期的事情~ 十七、洗牙可以治疗牙龈炎/牙周炎吗? 洗牙是牙龈炎的主要治疗方法,也是牙周炎治疗的第一步
患有牙周炎的人,牙齿上几乎都堆有大量的牙结石,这些牙结石堆在牙龈上就会对牙龈产生刺激,造成牙龈发炎出血和牙龈的退缩
医生用洗牙来清除这些龈上的牙结石,如果牙结石超多,还有可能涉及到龈下刮治与翻瓣手术等
十八、蛀牙/补过的牙可以洗牙吗? 可以洗,有蛀牙和洗牙其实没什么关系,但洗牙并不能对蛀牙起到「修复治疗」,所以洗完牙你还是需要去补牙
洗牙后更有利于补牙,毕竟牙结石都被清除了,视野都好多了呢~ 另外,补过的牙齿也可以洗牙,完全没问题~就算你补得再逼真的牙,专业的医生小哥哥小姐姐们也能分得出哟! 十九、洗牙后牙龈还能长回去吗? 牙龈萎缩是不可逆的
如果是很轻微的,一般情况下经过治疗,会慢慢恢复;但如果是严重的牙龈萎缩,那牙龈是很难长回去的
目前为止,针对牙龈萎缩还没有什么特别有效的治疗方式,只能靠日常维护,注意口腔卫生,认真刷牙,坚持使用牙线,以及一些基础的牙周治疗如洁治、刮治、根面平整等
二十、还分等级吗?刮治是什么? 除了我们常说的洗牙(龈上洁牙)外,很多小伙伴们还被医生建议做过龈下刮治
龈下刮治示意图 洗牙一般是针对牙龈上部的牙结石和菌斑,而龈下刮治则是针对于超声机头不能洁治的盲区死角的补充手段
一旦你出现了牙龈疾病,牙周袋形成之后就会慢慢加深,牙结石就会慢慢向牙龈下堆积,这时候就需要刮治
本文来源于网络;版权归原作者所有,如有违规、侵权请联系我们,本平台会及时做出处理
备案号:
黔ICP备09000044号-9 咨询电话:0851-836278080851-8691888615329016609 网站直达号ID:7808 访问统计: 浏览总量307239次 /今日浏览5339次 /独立访客总量11314位 /今日独立访客32位 地址:花溪店:贵阳市花溪区花溪公园旁溪北路紫光商城二楼;金阳店:贵阳市观山湖区长岭北路国际金融中心二期商务区C8栋名称:贵阳佳和口腔【官网】 网址: http://7808.wangid.com 建议(1024*768) IE8.0以上浏览器浏览本站 即时通管理 后台登录 Powered by WangID 驰通集团 触屏版丨电脑版 本站已支持 IPV6 免责申明:本站点部分内容素材来源于互联网,如有侵权请联系站点负责人,我们将第一时间删除。